全国首个人工智能医学影像产品获批生产
中国食品药品网讯(记者王晓冬)3月23日,北京市石景山区市场监管局为辖区一家科技有限公司发放了《医疗器械生产许可证》。这标志着国内首个人工智能医学影像产品“冠脉血流储备分数计算软件”正式生产上市。

图为石景山区市场监管局监管人员检查该企业产品。(石景山区市场监管局供图)
据石景山区市场监管局相关负责人介绍,该产品以冠状动脉CT血管影像为基础,采用无创技术,可减少不必要的冠脉造影检查,可实现基于深度学习技术的血管分割与重建、血管中心线提取、血流储备分数计算,可用于早期诊断。该产品填补了国内空白,性能指标与国际上仅有的一款同种产品相比,处于领先水平。

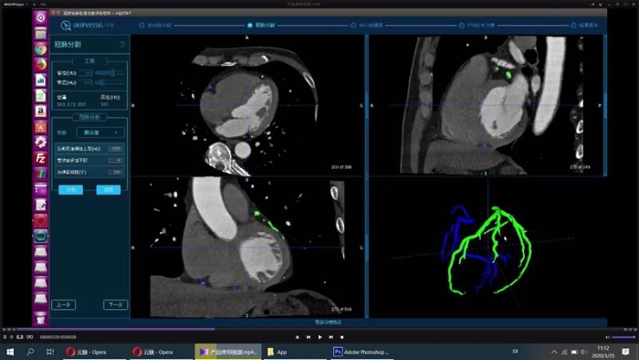
图为冠脉血流储备分数计算软件显示界面。(石景山区市场监管局供图)

图为冠脉血流储备分数计算软件显示界面。(石景山区市场监管局供图)
石景山区市场监管局在该创新产品前期申报时协助上级部门开展注册核查,并在企业许可申报前进行业务指导,按照相关法律法规及《北京市医疗器械生产监督管理办法(暂行)》规定,简化行政审批流程,在受理企业申报材料后立即进行审批,并于当天向该公司核发了《医疗器械生产许可证》,确保产品尽快上市,服务百姓就医需求。下一步,该局将加强企业正式投产后的监督检查,保证产品质量安全。
(责任编辑:满雪)
分享至
右键点击另存二维码!
互联网新闻信息服务许可证10120170033
网络出版服务许可证(京)字082号
©京公网安备 11010802023089号 京ICP备17013160号-1
《中国医药报》社有限公司 中国食品药品网版权所有